子平町歯科医院
仙台市青葉区八幡二丁目16-15
子平町歯科医院


すべて、当院で治療を行った方です。この他、あなたの状態に近い治療例を院内で御覧いただけます。

矯正治療


矯正歯科治療に伴う一般的なリスクや副作用について


1) 最初は矯正装置による不快感、痛み等があります。数日間1、2週間で慣れることが多いです。
2) 歯の動き方には個人差があります。そのため、予想された治療期間が延長する可能性があります。
3) 装置の使用状況、顎間ゴムの使用状況、定期的な通院等、矯正治療には患者さんの協力が非常に重要であり、
  それらが治療結果や治療期間に影響します。
4) 治療中は、装置が付いているため歯が磨きにくくなります。むし歯や歯周病のリスクが高まりますので、
  丁寧に磨いたり、定期的なメンテナンスを受けたりすることが重要です。また、歯が動くと隠れていたむし歯が
  見えるようになることもあります。
5) 歯を動かすことにより歯根が吸収して短くなることがあります。また、歯ぐきがやせて下がることがあります。
6) ごくまれに歯が骨と癒着していて歯が動かないことがあります。
7) ごくまれに歯を動かすことで神経が障害を受けて壊死することがあります。
8) 治療途中に金属等のアレルギー症状が出ることがあります。
9) 治療中に「顎関節で音が鳴る、あごが痛い、口が開けにくい」などの顎関節症状が出ることがあります。
10)様々な問題により、当初予定した治療計画を変更する可能性があります。
11)歯の形を修正したり、咬み合わせの微調整を行ったりする可能性があります。
12)矯正装置を誤飲する可能性があります。
13)装置を外す時に、エナメル質に微小な亀裂が入る可能性や、かぶせ物(補綴物)の一部が破損する可能性が
  あります。
14)装置が外れた後、保定装置を指示通り使用しないと後戻りが生じる可能性が高くなります。
15)装置が外れた後、現在の咬み合わせに合った状態のかぶせ物(補綴物)やむし歯の治療(修復物)などを
  やりなおす可能性があります。
16)あごの成長発育によりかみ合わせや歯並びが変化する可能性があります。
17)治療後に親知らずが生えて、凸凹が生じる可能性があります。加齢や歯周病等により歯を支えている骨が
  やせるとかみ合わせや歯並びが変化することがあります。その場合、再治療等が必要になることがあります。
18)矯正歯科治療は、一度始めると元の状態に戻すことは難しくなります。


≪症例1≫
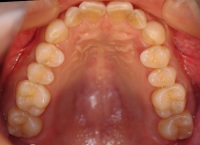
上下の前歯が出ていることを主訴に来院された30才代の女性の方です。上下顎の歯列弓が前後的に長く、 骨格的には標準の状態と診断しました。全ての第一小臼歯を抜きました。 智歯を含めすべての歯にブラケットを装着。2017年8月に装置を付け、2020年5月に外して リテーナーを入れました。ここまでの費用の総額は、1019000円でした。 治療前に転倒したり、交通事故などで歯を強打していると、歯が動かない可能性があります。 装置を付けている期間は虫歯になり易いので、十分な口腔清掃が必要です。 歯の移動の速さには、個人差があります。 奥歯が前に来易いと、それを止めるための装置を入れる必要があります。


治療前(2017年8月20日)
治療前後のセファロ写真で、薄く見えるのが側貌です
治療前 セファロ 治療前 上顎
治療前 右側 治療前 正面 治療前 左側
治療前 下顎


治療後(2020年5月22日)
治療後 セファロ 治療後 上顎
治療後 右側 治療後 正面 治療後 左側
治療後 下顎

≪症例2≫
大人の歯が、歯茎の方から出そうなことを主訴に2014年8月に来院された、7才8カ月の男児です。 骨格的には標準で、歯牙の叢生と位置異常を伴う症例と診断しました。 右下の乳犬歯が、早期に脱落したことで下の4本の前歯が右に3o移動していました。 リンガルアーチを下顎の舌側に付けて、上下の正中を合わせながら萌出位置を順次修正していきました。 13才6カ月の時に、第二小臼歯が4本標準的な位置に萌出した事(T級咬合)を確認しました。 下の第2大臼歯が正常に萌出したところまでの、費用は53万7千円でした。 乳歯が永久歯と混在している状態で治療するには、骨格性の治療に対する目途が立っている必要があります。 蝶形後頭軟骨結合の化骨状態等によっては、治療開始を遅らせる必要がある場合があります。 一方簡便な装置で、自然な歯並びが回復できるという側面もあります。


治療前(10歳2ヶ月)
治療前 上顎
治療前 右側 治療前 正面 治療前 左側
治療前 下顎


治療後(15歳)
治療後 上顎
治療後 右側 治療後 正面 治療後 左側
治療後 下顎

≪症例3≫
2014年2月に、上下の歯並びを治すことを主訴に来院された30代の男性です。 骨格的には標準で、上顎が前方位であると診断しました。 そのため、下の歯が深く上の歯の内側に入る(過蓋咬合)状態でした。 すべての歯にブラケットを付け、狭窄している歯列弓を拡大する事で、非抜歯で治療しました。 1年2ヶ月後、装置を外してリテーナーを入れました。ここまでの総費用は、94万9千円でした。 この方のリスクとして、歯槽骨の基底部を超える大きな拡大はできません。 伸び上がっている前歯を、押していく場合(圧下)、皮質骨という密度の高い骨に当たると、 動かなくなったり根吸収を起こす場合があります。


治療前
治療前 上顎
治療前 右側 治療前 正面 治療前 左側
治療前 下顎


治療後
治療後 上顎
治療後 右側 治療後 正面 治療後 左側
治療後 下顎

≪症例4≫
2017年8月に治療を始めた、開咬(口を閉じた時に歯が噛めない)を主訴に来院された20代の女性です。 骨格性T級(標準)で、垂直的に長頭型(dolico face)と診断しました。 すべての歯にブラケットを装着し、標準的な咬合(歯性T級)を抜歯しないで達成しました。 1年6カ月後、上下にリテイナーを入れました。それまでの総費用は、99万2千円でした。 開咬の場合、舌の大きさや口呼吸が原因のことがあります。別に手術を受ける必要がある事があります。 大臼歯部が全体的に呈出している場合、歯科矯正用アンカースクリューを植えて圧下(奥歯を押し込む)する 必要がある事があります。


治療前
治療前 上顎
治療前 右側 治療前 正面 治療前 左側
治療前 下顎


治療後
治療後 上顎
治療後 右側 治療後 正面 治療後 左側
治療後 下顎